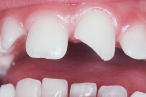
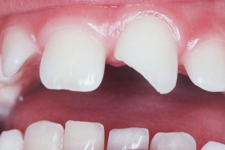
Травмы зубов: классификация, симптомы и методы лечения
Для полной функциональности этого сайта необходимо включить JavaScript.
Нижний Новгород
42 года
На сайте с: 01.05.2017
Марк Крейн
mkreine
Рейтинг: 120
не верифицирован
Всего отзывов:
0
Работ в портфолио:
50
Типовых услуг:
0
Работ на продажу:
0
Был на сайте:
2021-09-07 в 21:22
inbox
telegram
Предложить работу
Добавить в избранное
Добавить рекомендацию
Пожаловаться
Тексты
34
0
Травмы зубов: классификация, симптомы и методы лечения
Используемые навыки:
Медицинские тексты
Описание
Решение
Результат
Соавторы
Презентация проекта
Примеры реализации
Описание
Ссылки на примеры реализации
zub.expert/polost-rta/travmy-zubov
Презентация проекта
Оценили проект:
0
×
Оценили проект
×
Авторизация
Для того чтобы оценивать проекты, вам нужно войти на сайт
Другие проекты
Все проекты
Художественное описание сервиза "Каприз Примадонны" (JK-17)
Художественное описание сервиза "Каприз Примадонны" (JK-12)
Игры на двоих в жанре "Гонки"
FREELANCE.RU
Toggle navigation
Нанять фрилансера
Заказчику
Найти по специализации
Найти по услугам
Провести конкурс
Разместить задание
Виртуальный HR
Другое
Найти работу
Фрилансеру
Найти задание
Присоединиться к команде
Участвовать в конкурсе
Другое
Возможности
Для заказчика
Для фрилансера
Вход
Разместить задание
▲