Рейтинг: 295
не верифицирован
Всего отзывов: 10 0
Выполнила заданий: 7
  • Активность:
  • Работ в портфолио: 246
  • Типовых услуг: 0
  • Работ на продажу: 0
  • Зарегистрирован: 16.02.2011
Была на сайте:

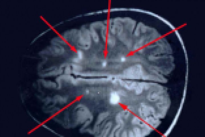
Рассеянный склероз

Используемые навыки:

Описание

Медицинская статья в раздел "Справочник заболеваний"

Ссылки на примеры реализации

 medihost.ru/glossary/diseases/rasseyannyy_skleroz_...

Презентация проекта

pic2196322.jpg

Оценили проект:

0