Рейтинг: 295
не верифицирован
Всего отзывов: 10 0
Выполнила заданий: 7
  • Активность:
  • Работ в портфолио: 246
  • Типовых услуг: 0
  • Работ на продажу: 0
  • Зарегистрирован: 16.02.2011
Была на сайте:

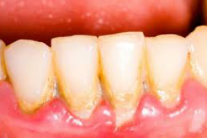
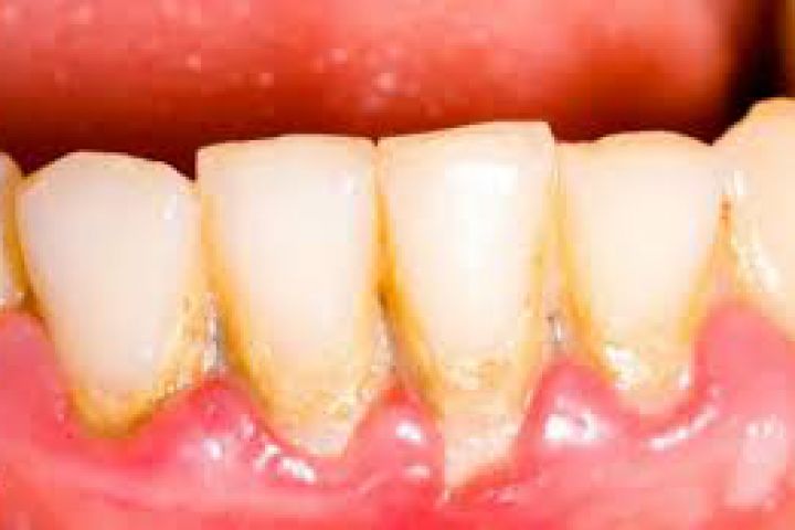
Зубной налет

Используемые навыки:

Описание

Статья в справочник портала Медихост

Ссылки на примеры реализации

 medihost.ru/glossary/diseases/zubnoy_nalet_

Презентация проекта

pic3661657.jpg

Оценили проект:

0